Tratamento Percutâneo da Doença de Tronco de Coronária Esquerda
Um Guia para Pacientes
DOENÇA CORONÁRIA COMPLEXA: ANGIOPLASTIA CORONARIANA COMPLEXA
Luis A G Tamayo CRM SP 188085 RQE 90114
12/5/20244 min read


Tratamento Percutâneo da Doença de Tronco de Coronária Esquerda: Um Guia para Pacientes
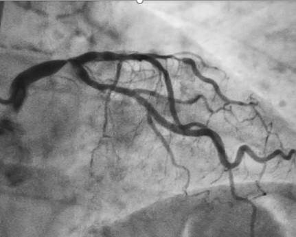
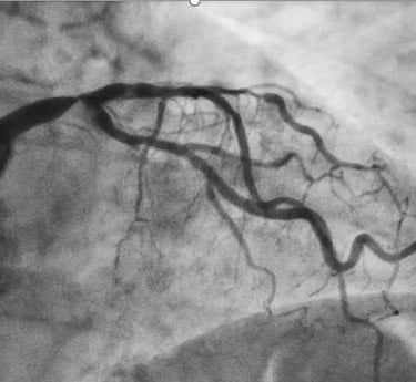
O diagnóstico de doença coronariana no tronco da coronária esquerda (TCE) pode causar preocupação, mas é importante saber que existem tratamentos modernos e eficazes disponíveis. Este texto visa esclarecer suas dúvidas sobre o tratamento percutâneo (angioplastia), uma opção terapêutica que tem mostrado excelentes resultados em casos selecionados
O que é a Doença do Tronco de Coronária Esquerda?
O tronco da coronária esquerda é um vaso sanguíneo crucial que fornece aproximadamente 75% do sangue para o coração. Quando existe obstrução significativa neste vaso, o tratamento adequado é fundamental para preservar a vida e qualidade de vida do paciente.
Tratamento Percutâneo: Uma Opção Moderna e Eficaz
Vantagens do Tratamento Percutâneo
- Procedimento menos invasivo que a cirurgia
- Recuperação mais rápida
- Menor tempo de internação hospitalar
- Retorno mais precoce às atividades diárias
- Menor trauma cirúrgico
- Possibilidade de repetir o procedimento se necessário
Quando o Tratamento Percutâneo é Mais Indicado?
- Anatomia coronariana favorável (Scores de Risco, SYNTAX)
- Lesões menos complexas do TCE
- Pacientes com alto risco cirúrgico
- Presença de comorbidades que aumentam o risco cirúrgico
- Preferência do paciente após discussão detalhada dos riscos e benefícios
Tecnologia e Segurança
Recursos Tecnológicos Avançados
1. Ultrassom Intracoronário (USIC/IVUS)
- Permite visualização detalhada da lesão
- Auxilia na escolha do tamanho ideal do stent
- Confirma o posicionamento adequado do stent
- Aumenta a segurança e eficácia do procedimento
2. Tomografia de Coerência Óptica (OCT)
- Oferece imagens em alta resolução do vaso
- Permite avaliação precisa da anatomia coronariana
- Auxilia na otimização do resultado final
Expertise do Operador
O sucesso do tratamento percutâneo do TCE está diretamente relacionado à experiência do cardiologista intervencionista. É fundamental que o procedimento seja realizado por:
- Especialistas com grande volume de procedimentos
- Operadores com experiência específica em TCE
- Equipe treinada em lidar com possíveis complicações
- Centro com infraestrutura adequada
Controle de Riscos e Complicações
Medidas de Segurança
- Avaliação criteriosa pré-procedimento
- Planejamento detalhado da intervenção
- Uso de tecnologias de imagem para guiar o procedimento
- Monitorização constante durante e após a intervenção
- Equipe preparada para emergências
Acompanhamento Pós-Procedimento
- Seguimento clínico regular
- Ajuste da medicação quando necessário
- Controle dos fatores de risco
- Exames periódicos de controle
A Importância da Consulta Especializada
Por que Conversar com um Especialista?
1. Avaliação Individualizada
- Cada caso é único e requer análise específica
- Consideração de fatores individuais de risco
- Avaliação da anatomia coronariana específica
2. Decisão Compartilhada
- Discussão detalhada das opções de tratamento
- Esclarecimento de todas as dúvidas
- Consideração das preferências do paciente
- Elaboração de um plano de tratamento personalizado
3. Acompanhamento Adequado
- Estabelecimento de um plano de seguimento
- Ajustes necessários no tratamento
- Orientações específicas para cada caso
Conclusão
O tratamento percutâneo do tronco de coronária esquerda representa uma opção terapêutica segura e eficaz em casos selecionados, quando realizado por equipe experiente e com tecnologia adequada. A decisão sobre o melhor tratamento deve ser individualizada e discutida detalhadamente com seu cardiologista intervencionista.
Recomendações Finais
- Mantenha um diálogo aberto com sua equipe médica
- Não hesite em fazer perguntas e esclarecer dúvidas
- Siga rigorosamente as orientações médicas
- Mantenha o acompanhamento regular após o procedimento
- Adote hábitos de vida saudáveis para otimizar os resultados do tratamento
Dr. Luis A G Tamayo
Cardiologista Intervencionista. Especialista em Imagem cardíaca.
CRM-SP 188085
QRE 90114 -901141
Referências Bibliográficas
Banning, A. P., Chieffo, A., Lefèvre, T., Mehran, R., Montalescot, G., & Valgimigli, M. (2023). Current state of left main percutaneous coronary intervention. European Heart Journal, 44(5), 379-390.
Cavalcante, R., Sotomi, Y., Lee, C. W., Ahn, J. M., Farooq, V., & Park, S. J. (2023). Outcomes of percutaneous coronary intervention versus coronary artery bypass grafting in patients with left main coronary artery disease. JACC: Cardiovascular Interventions, 16(2), 143-157.
Gao, X. F., Zhang, Y. J., Tian, N. L., Wu, W., Li, M. H., & Chen, S. L. (2022). Stenting versus coronary artery bypass grafting for left main coronary artery disease: an updated meta-analysis of randomized trials. Circulation: Cardiovascular Interventions, 15(3), e011255.
Giuseppe, G., Burzotta, F., Trani, C., et al. (2023). Expert consensus document on the use of intracoronary imaging for left main percutaneous coronary intervention. EuroIntervention, 19(4), 338-350.
Jüni, P., Garcia, A. J., Walsh, S. J., et al. (2023). 2023 ACC/AHA/SCAI Guideline for Coronary Artery Revascularization: Executive Summary. Journal of the American College of Cardiology, 81(23), e139-e150.
Mintz, G. S., & Lefèvre, T. (2022). Intravascular imaging guidance in left main stenting: a comprehensive review. JACC: Cardiovascular Imaging, 15(8), 1419-1437.
Park, D. W., Ahn, J. M., Park, S. J., et al. (2023). Ten-year outcomes after revascularization for left main coronary artery disease. New England Journal of Medicine, 388(14), 1289-1301.
Stone, G. W., Kappetein, A. P., Sabik, J. F., et al. (2022). Five-year outcomes after PCI or CABG for left main coronary disease. New England Journal of Medicine, 386(24), 2261-2273.
Diretrizes Principais:
2023 ACC/AHA/SCAI Guideline for Coronary Artery Revascularization
Recomendações específicas para TCE baseadas em anatomia e complexidade
Classificação por score SYNTAX
Importância do Heart Team na decisão terapêutica
2021 ACC/AHA/SCAI Guideline for Coronary Artery Revascularization: A Report of the American College of Cardiology/American Heart Association Joint Committee on Clinical Practice Guidelines
Critérios de seleção para ICP vs. CRM
Recomendações para uso de imagem intracoronária
Terapia antiplaquetária dupla
2023 ESC Guidelines on the management of coronary artery disease
Abordagem moderna do TCE
Papel do IVUS/OCT
Seguimento pós-procedimento
Lembre-se: Este texto é informativo e não substitui a consulta médica. Cada caso é único e deve ser avaliado individualmente por um especialista.
