O Ecocardiograma Transesofágico
Tecnologia Avançada para Proteger seu Coração
DIAGNÓSTICO CARDIOLÓGICO DE PRECISÃO
Luis A G Tamayo
12/8/20242 min read


O Ecocardiograma Transesofágico: Tecnologia Avançada para Proteger seu Coração
O cuidado com a saúde cardiovascular é fundamental para uma vida longa e saudável. Entre os diversos exames disponíveis para avaliação cardíaca, o ecocardiograma transesofágico (ETE) destaca-se como uma ferramenta diagnóstica poderosa e precisa. Vamos entender melhor como este exame pode contribuir para sua saúde cardiovascular.
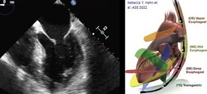
O que é o Ecocardiograma Transesofágico?
O ETE é um exame de ultrassom avançado que oferece imagens detalhadas do coração e grandes vasos através de um transdutor especial introduzido pelo esôfago. Esta localização privilegiada permite visualizar estruturas cardíacas com extraordinária clareza, superando limitações do ecocardiograma tradicional.
Vantagens e Aplicações
Alta Precisão Diagnóstica: Permite visualização detalhada das estruturas cardíacas
Detecção Precoce: Identifica alterações sutis antes que se tornem problemas graves
Avaliação Completa: Examina válvulas cardíacas, câmaras e função cardíaca global
Guia Terapêutico: Auxilia no planejamento de intervenções quando necessárias
Indicações Principais
Avaliação de trombos cardíacos
Endocardite infecciosa
Doenças valvares complexas
Cardiopatias congênitas
Dissecção da aorta
Avaliação pré-cardioversão em fibrilação atrial
Prevenção e Saúde Cardiovascular
O ETE faz parte de uma abordagem mais ampla de prevenção cardiovascular. A prevenção primária visa evitar o primeiro evento cardiovascular, enquanto a secundária busca prevenir novos eventos em pacientes que já apresentaram alguma condição cardíaca.
A Importância do Especialista
O cardiologista é fundamental nesta jornada pois:
Interpreta adequadamente os resultados dos exames
Personaliza as estratégias de prevenção
Acompanha a evolução do tratamento
Orienta sobre mudanças no estilo de vida
Ajusta medicações quando necessário
Impacto na Qualidade de Vida
Um acompanhamento cardiológico regular, incluindo exames como o ETE quando indicado, contribui para:
Maior longevidade
Melhor qualidade de vida
Prevenção de eventos cardiovasculares
Controle adequado dos fatores de risco
Identificação precoce de problemas cardíacos
Mensagem Final
Investir na saúde cardiovascular é investir em qualidade de vida. Consulte regularmente um cardiologista e mantenha seus exames em dia. O especialista poderá avaliar se o ETE é indicado em seu caso e orientará sobre as melhores estratégias de prevenção para seu perfil específico.
Dr. Luis A G Tamayo
Cardiologista Intervencionista. Especialista em Imagem cardíaca.
CRM-SP 188085
QRE 90114 -901141
Referências Bibliográficas
1. American Society of Echocardiography. (2023). Guidelines for the Performance of Transesophageal Echocardiography: Recommendations from the American Society of Echocardiography. Journal of the American Society of Echocardiography, 36(1), 1-42.
2. Faludi, A. A., Izar, M. C. O., Saraiva, J. F. K., Chacra, A. P. M., Bianco, H. T., Afiune Neto, A., et al. (2023). Atualização da Diretriz Brasileira de Dislipidemias e Prevenção da Aterosclerose. Arquivos Brasileiros de Cardiologia, 118(1), 1-118.
3. Otto, C. M. (2024). Textbook of Clinical Echocardiography (7th ed.). Elsevier.
4. Précoma, D. B., Oliveira, G. M. M., Simão, A. F., Dutra, O. P., Coelho, O. R., Izar, M. C. O., et al. (2023). Atualização da Diretriz de Prevenção Cardiovascular da Sociedade Brasileira de Cardiologia. Arquivos Brasileiros de Cardiologia, 117(1), 1-181.
5. Société Européenne de Cardiologie. (2023). ESC Guidelines on cardiovascular disease prevention in clinical practice. European Heart Journal, 44(15), 1-96.
